开启辅助访问
QQ登录|帐号登录 |注册个账号

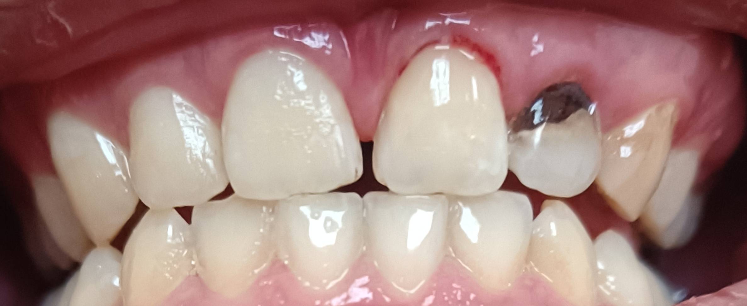
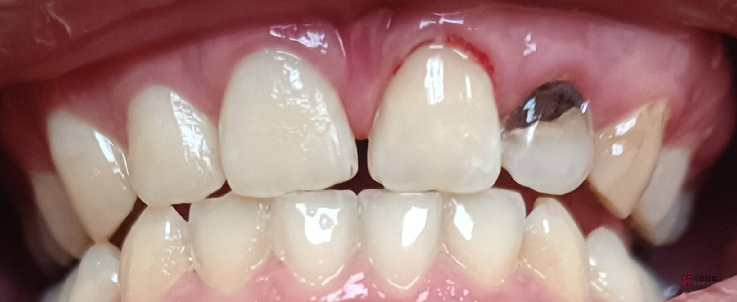
老哥们,上次我补了4颗牙,还有一颗问了好几个医生不敢给我弄,都叫我做根管治疗,说

 
老哥们,上次我补了4颗牙,还有一颗问了好几个医生不敢给我弄,都叫我做根管治疗,说这个牙离牙髓太近了,磨一下直接没了,我说直接补不行吗?他说直接补的话或许会继续烂下去,到时候还会发炎之类的,诶,看网上的人都说根管治疗痛到怀疑人生,还要带牙冠之类的,根管治疗最后的结局也是要拔掉。想想还是算了,缺一颗牙齿问题不大,估计也就是说话漏风,老哥们一定要爱护自己的牙齿啊,不然出问题了,麻烦的很,我现在后悔的要死,以前的我不喜欢喝可乐跟甜饮料。回家躺平之后才开始喝的,因为在家躺平,平时也不跟别人交流,人也变得懒了很多。慢慢的也就养成不刷牙的.惯,3年不刷牙,牙齿才开始慢慢的被腐蚀掉,上周吃东西不管是冷热,出现了酸痛的感觉,才开始重视。另外有没有现在缺牙的老哥?给张图片我看看,让我在心里平衡平衡。老哥们,上次我补了4颗牙,还有一颗问了好几个医生不敢给我弄,都叫我做根管治疗,说71 / 作者:挂壁老哥饿了mm / 老哥们,上次我补了4颗牙,还有一颗问了好几个医生不敢给我弄,都叫我做根管治疗,说10 / 作者:挂壁老哥饿了mm / 老哥们,上次我补了4颗牙,还有一颗问了好几个医生不敢给我弄,都叫我做根管治疗,说19 / 作者:挂壁老哥饿了mm /
老哥们,上次我补了4颗牙,还有一颗问了好几个医生不敢给我弄,都叫我做根管治疗,说83 / 作者:挂壁老哥饿了mm /
老哥们,上次我补了4颗牙,还有一颗问了好几个医生不敢给我弄,都叫我做根管治疗,说75 / 作者:挂壁老哥饿了mm /

推荐产品

26 个回复

倒序浏览
命里注定发财  卡圣 推荐 | 2025-11-24 22:34 | 来自wap | 显示全部楼层
三年不刷牙,张嘴会不会比旱厕都臭
卡农第一长度  卡神 推荐 | 2025-11-24 22:33 | 来自wap | 显示全部楼层
公孙梨pear  卡皇 补刀客 | 2025-11-24 22:34 | 来自wap | 显示全部楼层
根管治疗我做过,打了麻药的,我当时做不觉得疼老哥们,上次我补了4颗牙,还有一颗问了好几个医生不敢给我弄,都叫我做根管治疗,说16 / 作者:公孙梨pear / 老哥们,上次我补了4颗牙,还有一颗问了好几个医生不敢给我弄,都叫我做根管治疗,说14 / 作者:公孙梨pear /
后会灬无期  卡圣 亮了 | 2025-11-24 22:34 | 来自wap | 显示全部楼层
秋萤  教父 #6 | 2025-11-24 22:34 | 来自wap | 显示全部楼层
这牙齿不矫正一下吗?你这个牙齿看着还是歪的啊。
五竹回京了  卡圣 #7 | 2025-11-24 22:34 | 来自wap | 显示全部楼层
四颗牙3k多很便宜了
命里注定发财  卡圣 #8 | 2025-11-24 22:35 | 来自wap | 显示全部楼层
秋萤 发表于 2025-11-24 22:34
这牙齿不矫正一下吗?你这个牙齿看着还是歪的啊。

矫正一万多戴个箍
千亿少女的梦想  卡圣 #9 | 2025-11-24 22:36 | 来自wap | 显示全部楼层
三年不刷牙? 你还是退出卡农吧 乌烟瘴气
挂壁老哥饿了mm  卡帝 #10 | 2025-11-24 22:36 | 来自wap | 显示全部楼层
命里注定发财 发表于 2025-11-24 22:34
三年不刷牙,张嘴会不会比旱厕都臭

不会啊,甚至口臭都没有,我也不懂什么原理。
五竹回京了  卡圣 #11 | 2025-11-24 22:37 | 来自wap | 显示全部楼层
我和你差不多兄弟,我比你要严重多,没钱补,我三个牙都坏了,现在吃不了一点硬的东西,咬到剧痛,整口都松动,而且牙缝大的不能看,吃肉塞满
五竹回京了  卡圣 #12 | 2025-11-24 22:37 | 来自wap | 显示全部楼层
这个和你喝碳酸没关系,主要不刷牙导致,还有现在吃的各种科技
挂壁老哥饿了mm  卡帝 #13 | 2025-11-24 22:38 | 来自wap | 显示全部楼层
五竹回京了 发表于 2025-11-24 22:37
我和你差不多兄弟,我比你要严重多,没钱补,我三个牙都坏了,现在吃不了一点硬的东西,咬到剧痛,整口都松动,而且牙缝大的不能看,吃肉塞满

看看图片呗
挂壁老哥饿了mm  卡帝 #14 | 2025-11-24 22:38 | 来自wap | 显示全部楼层
秋萤 发表于 2025-11-24 22:34
这牙齿不矫正一下吗?你这个牙齿看着还是歪的啊。

都28岁了,懒得搞,老哥们,上次我补了4颗牙,还有一颗问了好几个医生不敢给我弄,都叫我做根管治疗,说36 / 作者:挂壁老哥饿了mm /
柳下行  老祖 #15 | 2025-11-24 22:38 | 来自wap | 显示全部楼层
你这是多少颗牙有问题呐,前拔牙,补牙……,3年不刷?也受得了?我的牙缝大了,经常塞牙,都觉得不舒服,你的…这样,更难受…
挂壁老哥饿了mm  卡帝 #16 | 2025-11-24 22:39 | 来自wap | 显示全部楼层
柳下行 发表于 2025-11-24 22:38
你这是多少颗牙有问题呐,前拔牙,补牙……,3年不刷?也受得了?我的牙缝大了,经常塞牙,都觉得不舒服,你的…这样,更难受…

5颗牙有问题,,我吃东西不塞牙的,
挂壁老哥饿了mm  卡帝 #17 | 2025-11-24 22:40 | 来自wap | 显示全部楼层
五竹回京了 发表于 2025-11-24 22:37
我和你差不多兄弟,我比你要严重多,没钱补,我三个牙都坏了,现在吃不了一点硬的东西,咬到剧痛,整口都松动,而且牙缝大的不能看,吃肉塞满

老哥看看,发张图片看看呗
柳下行  老祖 #18 | 2025-11-24 22:42 | 来自wap | 显示全部楼层
挂壁老哥饿了mm 发表于 2025-11-24 22:39
5颗牙有问题,,我吃东西不塞牙的,

5颗啊,以后老了可怎么办,以前用牙签剔牙多了,牙缝现在就容易塞牙,其他的,到是没什么,去年洗牙的时候,人家说我的牙还可以老哥们,上次我补了4颗牙,还有一颗问了好几个医生不敢给我弄,都叫我做根管治疗,说31 / 作者:柳下行 /

快速回复

您需要登录后才可以回帖 登录 or 注册个账号

本版积分规则

app下载