开启辅助访问
QQ登录|帐号登录 |注册个账号

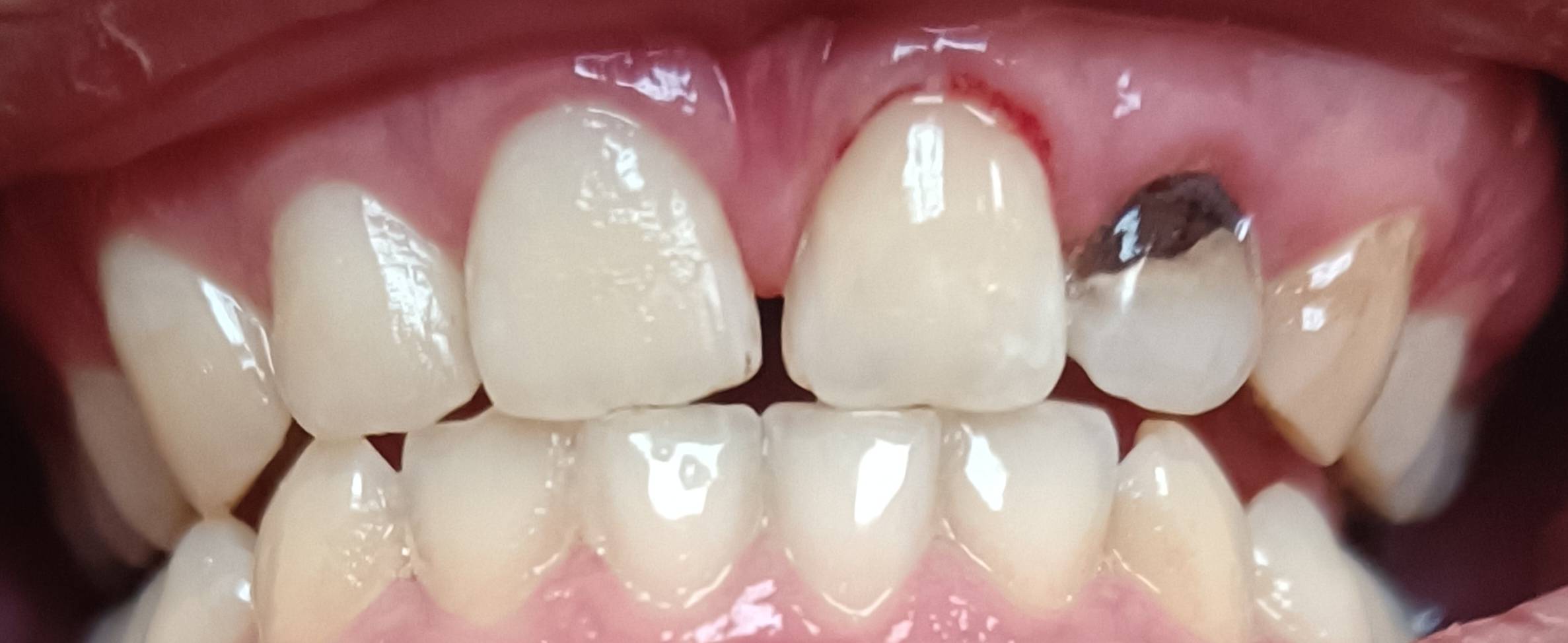
28岁,男,因为懒3年不刷牙,喜欢喝可乐跟甜饮料,牙齿烂了5颗,每天都很焦虑,整晚整

 
28岁,男,因为懒3年不刷牙,喜欢喝可乐跟甜饮料,牙齿烂了5颗,每天都很焦虑,整晚整晚的睡不着,每天晚上躲被窝哭唧唧,经历5天,补了4颗牙,有一颗牙烂的太严重了,已经补不了,医生说必须根管治疗才行,我看到网上说根管很痛,而且只能维持一两年。最后的结局也是拔牙,我想想还是算了,大不了就缺一颗牙呗。给老哥们看看补牙前后对比,另外补牙很酸痛,需要把烂的都磨掉才开始补,老哥们有时间一定要早晚刷牙,好好爱护自己的牙齿,不然跟我一样,老受罪了28岁,男,因为懒3年不刷牙,喜欢喝可乐跟甜饮料,牙齿烂了5颗,每天都很焦虑,整晚整5 / 作者:挂壁老哥饿了mm / 28岁,男,因为懒3年不刷牙,喜欢喝可乐跟甜饮料,牙齿烂了5颗,每天都很焦虑,整晚整17 / 作者:挂壁老哥饿了mm / 28岁,男,因为懒3年不刷牙,喜欢喝可乐跟甜饮料,牙齿烂了5颗,每天都很焦虑,整晚整57 / 作者:挂壁老哥饿了mm /
28岁,男,因为懒3年不刷牙,喜欢喝可乐跟甜饮料,牙齿烂了5颗,每天都很焦虑,整晚整91 / 作者:挂壁老哥饿了mm /
28岁,男,因为懒3年不刷牙,喜欢喝可乐跟甜饮料,牙齿烂了5颗,每天都很焦虑,整晚整57 / 作者:挂壁老哥饿了mm /

推荐产品

30 个回复

倒序浏览
莫问归期?  天王 推荐 | 2025-11-22 14:32 | 来自wap | 显示全部楼层
我一天刷1次,晚上吃完饭在刷
灯神之影  卡圣 推荐 | 2025-11-22 14:25 | 来自wap | 显示全部楼层
3年不刷牙也是神人
公孙梨pear  卡友 捧场王 | 2025-11-22 14:24 | 来自wap | 显示全部楼层
我一天刷一次牙,不是左边压疼就是右边牙疼,一天一边疼,更别说你这不刷牙的28岁,男,因为懒3年不刷牙,喜欢喝可乐跟甜饮料,牙齿烂了5颗,每天都很焦虑,整晚整62 / 作者:公孙梨pear / 28岁,男,因为懒3年不刷牙,喜欢喝可乐跟甜饮料,牙齿烂了5颗,每天都很焦虑,整晚整25 / 作者:公孙梨pear /
13略略略  卡圣 神评 | 2025-11-22 14:24 | 来自wap | 显示全部楼层
根管治疗后带牙冠不止才管一两年吧,我两年也做了一颗根管治疗的,带了牙冠,现在还好好的
挂壁老哥饿了mm  卡帝 亮了 | 2025-11-22 14:25 | 来自wap | 显示全部楼层
公孙梨pear 发表于 2025-11-22 14:24
我一天刷一次牙,不是左边压疼就是右边牙疼,一天一边疼,更别说你这不刷牙的

哈哈,你没有去医院看一下吗?
晴转多云雷阵雨  卡友 #6 | 2025-11-22 14:25 | 来自wap | 显示全部楼层
四颗补了多少钱?
用力㿻  卡神 #7 | 2025-11-22 14:25 | 来自wap | 显示全部楼层
补牙多少钱
阿米诺丝之神  卡圣 #8 | 2025-11-22 14:25 | 来自wap | 显示全部楼层
我就想知道怎么做到的
挂壁老哥饿了mm  卡帝 #9 | 2025-11-22 14:25 | 来自wap | 显示全部楼层
13略略略 发表于 2025-11-22 14:24
根管治疗后带牙冠不止才管一两年吧,我两年也做了一颗根管治疗的,带了牙冠,现在还好好的

做根管是不是很疼呀?花了多少钱?
去你娘呢  真君 #10 | 2025-11-22 14:26 | 来自wap | 显示全部楼层
补牙怎么收费的,我也有两颗要补
公孙梨pear  卡友 #11 | 2025-11-22 14:26 | 来自wap | 显示全部楼层
挂壁老哥饿了mm 发表于 2025-11-22 14:25
哈哈,你没有去医院看一下吗?

哪有钱,治疗牙齿很贵的老哥,我这个应该是炎症,挂壁仔没资格看牙28岁,男,因为懒3年不刷牙,喜欢喝可乐跟甜饮料,牙齿烂了5颗,每天都很焦虑,整晚整23 / 作者:公孙梨pear / 28岁,男,因为懒3年不刷牙,喜欢喝可乐跟甜饮料,牙齿烂了5颗,每天都很焦虑,整晚整9 / 作者:公孙梨pear /
挂壁老哥饿了mm  卡帝 #12 | 2025-11-22 14:26 | 来自wap | 显示全部楼层
心知肚明哈  卡妖 #13 | 2025-11-22 14:27 | 来自wap | 显示全部楼层
挂壁老哥饿了mm 发表于 2025-11-22 14:25
做根管是不是很疼呀?花了多少钱?

我根管了一颗,麻药12.5,治疗1200然后带牙冠1250
公孙梨pear  卡友 #14 | 2025-11-22 14:27 | 来自wap | 显示全部楼层
挂壁老哥饿了mm 发表于 2025-11-22 14:25
哈哈,你没有去医院看一下吗?

我一天刷一次牙那个牙刷上面的泡泡都会变色,更何况你这种不刷牙的你刷一下岂不是发黑28岁,男,因为懒3年不刷牙,喜欢喝可乐跟甜饮料,牙齿烂了5颗,每天都很焦虑,整晚整66 / 作者:公孙梨pear / 28岁,男,因为懒3年不刷牙,喜欢喝可乐跟甜饮料,牙齿烂了5颗,每天都很焦虑,整晚整72 / 作者:公孙梨pear /
挂壁老哥饿了mm  卡帝 #15 | 2025-11-22 14:27 | 来自wap | 显示全部楼层
去你娘呢 发表于 2025-11-22 14:26
补牙怎么收费的,我也有两颗要补

去人民医院,一般400-600左右
晴转多云雷阵雨  卡友 #16 | 2025-11-22 14:27 | 来自wap | 显示全部楼层

另一颗根管的话,要多少钱?
挂壁老哥饿了mm  卡帝 #17 | 2025-11-22 14:28 | 来自wap | 显示全部楼层
晴转多云雷阵雨 发表于 2025-11-22 14:27
另一颗根管的话,要多少钱?

医生说要1900左右,
小$宇宙  卡帝 #18 | 2025-11-22 14:29 | 来自wap | 显示全部楼层
你是怎么做到3年不刷牙的?我一天不刷牙抽烟都觉得嘴里难受。

快速回复

您需要登录后才可以回帖 登录 or 注册个账号

本版积分规则

app下载