开启辅助访问
QQ登录|帐号登录 |注册个账号

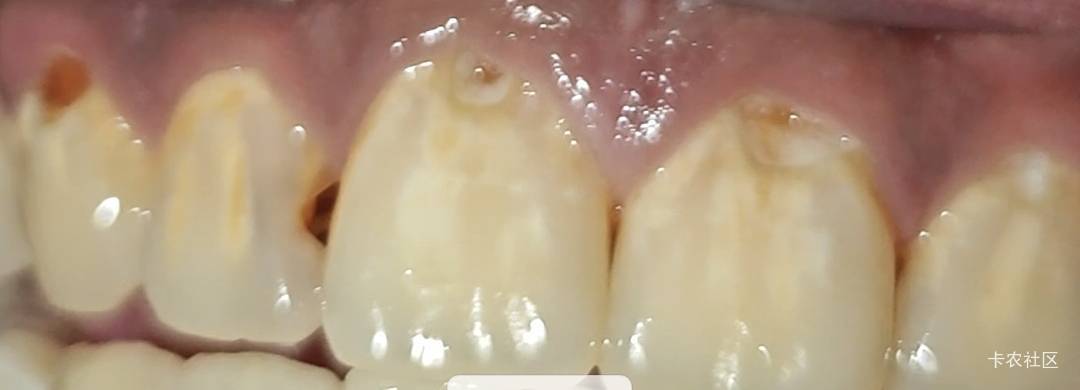
我这牙还有救吗,以前不喜欢刷牙现在后悔死了

 
我这牙还有救吗,以前不喜欢刷牙现在后悔死了
我这牙还有救吗,以前不喜欢刷牙现在后悔死了

62 / 作者:暖风归去 /

推荐产品

8 个回复

倒序浏览
秋隔一日  教父 捧场王 | 2025-10-11 08:42 | 来自wap | 显示全部楼层
薅羊毛来了  老祖 神评 | 2025-10-11 08:44 | 来自wap | 显示全部楼层
赶紧治  恶化了花更多的钱 效果还不行
卡卡卡卡夫  天王 补刀客 | 2025-10-11 08:45 | 来自wap | 显示全部楼层
之前新闻,现在有种新技术滴上去,牙齿会自动修复我这牙还有救吗,以前不喜欢刷牙现在后悔死了

0 / 作者:卡卡卡卡夫 / 我这牙还有救吗,以前不喜欢刷牙现在后悔死了

78 / 作者:卡卡卡卡夫 /
薅秃老板计划组组长  真君 亮了 | 2025-10-11 08:46 | 来自wap | 显示全部楼层
有钱就有救  没钱就凉拌
枯木逢春逢春  卡仙 #6 | 2025-10-11 09:10 | 来自wap | 显示全部楼层
你这个有钱都没救了,牙床里面估计早烂了,细菌已经腐蚀掉根部里面的了,等着掉完吧
规矩的男人  天王 #7 | 2025-10-11 09:15 | 来自wap | 显示全部楼层
怕啥,三十岁了,除去读书十几年刷过牙到现在也有十几年没刷过多少,牙根直接是黑的,牙齿更是黄漆漆的,天天都是抽烟槟榔
我这牙还有救吗,以前不喜欢刷牙现在后悔死了

60 / 作者:规矩的男人 /
暴揍讨饭狗  卡帝 #8 | 2025-10-11 09:38 | 来自wap | 显示全部楼层
规矩的男人 发表于 2025-10-11 09:15
怕啥,三十岁了,除去读书十几年刷过牙到现在也有十几年没刷过多少,牙根直接是黑的,牙齿更是黄漆漆的,天天都是抽烟槟榔

这是你自己?
老哥哥老  卡皇 #9 | 2025-10-11 10:12 | 来自wap | 显示全部楼层
我一个月就刷两三次,刷多牙齿磨掉哦

快速回复

您需要登录后才可以回帖 登录 or 注册个账号

本版积分规则

app下载