






公孙梨pear 发表于 2025-11-22 14:24
我一天刷一次牙,不是左边压疼就是右边牙疼,一天一边疼,更别说你这不刷牙的
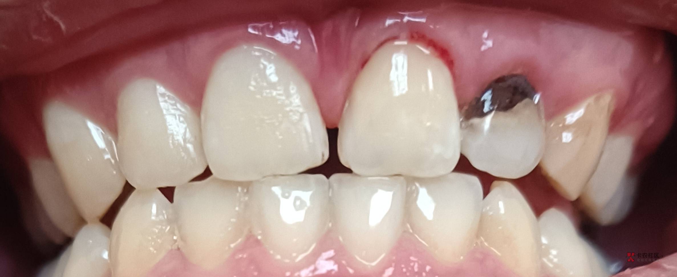
13略略略 发表于 2025-11-22 14:24
根管治疗后带牙冠不止才管一两年吧,我两年也做了一颗根管治疗的,带了牙冠,现在还好好的
挂壁老哥饿了mm 发表于 2025-11-22 14:25
哈哈,你没有去医院看一下吗?


晴转多云雷阵雨 发表于 2025-11-22 14:25
四颗补了多少钱?
挂壁老哥饿了mm 发表于 2025-11-22 14:25
做根管是不是很疼呀?花了多少钱?
挂壁老哥饿了mm 发表于 2025-11-22 14:25
哈哈,你没有去医院看一下吗?


去你娘呢 发表于 2025-11-22 14:26
补牙怎么收费的,我也有两颗要补
晴转多云雷阵雨 发表于 2025-11-22 14:27
另一颗根管的话,要多少钱?
挂壁老哥饿了mm 发表于 2025-11-22 14:25
做根管是不是很疼呀?花了多少钱?
13略略略 发表于 2025-11-22 14:31
是很痛,要去四五次才搞得定,根管治疗就是把你这颗牙的神经杀死,根管治疗380,然后牙冠我选了个最贵了,1500



莫问归期? 发表于 2025-11-22 14:32
我一天刷1次,晚上吃完饭在刷
好又来 发表于 2025-11-22 14:33
几年不刷还是好好的

好又来 发表于 2025-11-22 14:33
几年不刷还是好好的
暴走秋名山2 发表于 2025-11-22 15:31
现在还有人不刷牙的?不刷牙自己都不好意思张口
,觉得没必要刷牙,久了牙就烂了

| 欢迎光临 卡农论坛 (https://www.51kanong.com/) | Powered by Discuz! X3.4 |